-
반응형
최근 대만의 유명 배우 쉬시위안이 인플루엔자 합병증으로 인한 급성폐렴으로 안타깝게 별세했다는 소식은, 바이러스성 호흡기 감염이 얼마나 예기치 못하게 악화될 수 있는지를 다시금 상기시키고 있습니다. 급성폐렴은 독감, 바이러스, 박테리아 등 다양한 원인으로 인해 발병하며, 공공장소와 해외여행 시 감염 위험이 높아집니다. 유행 시기에는 개인위생과 면역력 관리가 매우 중요하며, 초기 증상을 놓칠 경우 중증으로 진행돼 생명을 위협할 수도 있습니다.

급성폐렴으로 사망한 대만배우 쉬시이안 급성폐렴의 발병 원인과 특징
급성폐렴은 호흡기 바이러스나 박테리아가 폐에 침투해 생기는 염증성 질환으로, 짧은 시간 안에 급격히 증상이 악화되는 것이 특징입니다. 전 세계적으로 다양한 형태가 보고되고 있으며, 면역력이 떨어진 환자나 기저질환이 있는 경우에는 그 위험성이 더욱 높아집니다.
급성폐렴의 주요 원인
급성폐렴을 일으키는 대표적 바이러스 중 하나가 인플루엔자(독감)바이러스이며, 그 외에 호흡기세포융합바이러스(RSV)나 코로나바이러스, 박테리아 중에서는 폐렴구균 등이 있습니다. 감기 증상처럼 시작되지만 높은 열, 기침, 가래, 호흡곤란 등으로 빠르게 악화되는 점이 특징적입니다. 잘 알려지지 않은 팁으로는 실내 가습기 사용 시, 물과 기기를 자주 소독해 세균 증식을 막는 것이 감염 위험도를 낮추는 데 도움이 됩니다.

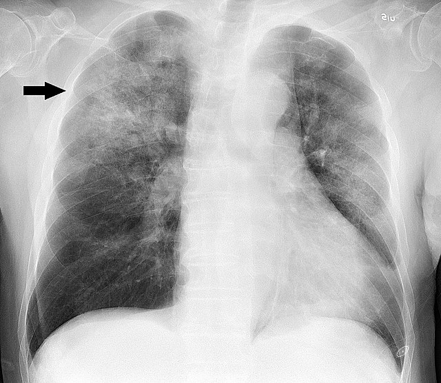
급성폐렴으로 확인되는 흉부 X레이 사진 <화살표> 발열과 기침, 간과하기 쉬운 초기 증상
급성폐렴은 대부분 발열, 마른기침 혹은 가래 동반 기침이 나타나지만, 초기 단계에서 이를 단순 감기로 오인하는 경우가 많습니다. 이 시기를 놓치면 증상이 빠르게 진행되어 폐렴이 심화될 수 있으므로, 38도 이상의 고열이 수일간 지속되거나 호흡이 가빠지는 느낌이 있다면 즉시 전문의와 상의하는 것이 중요합니다. 가족 중 면역력이 취약한 어르신 혹은 어린이가 있다면, 집안 공기 질 관리와 개인위생을 더욱 철저히 해주는 것이 중요한 숨겨진 핵심 팁입니다.
급성폐렴 의심 시 대처법과 전문치료
급성폐렴이 의심되면, 빠른 시일 내 병원을 찾아 정확한 진단과 치료를 받아야 합니다. 치료의 골든타임을 놓치면 증상이 급속도로 악화되어, 중증 합병증이나 입원 치료까지 이어질 수 있습니다.
자가 진단 팁
빠른 증상 체크 방법 급성폐렴은 감기와 초기 증상이 유사하지만, 빠르게 악화될 가능성이 높습니다. 자가 진단을 위해 다음과 같은 증상을 체크해보세요:
- 고열 지속 여부 - 38도 이상의 고열이 3일 이상 지속되는지 확인하세요.
- 호흡 곤란 - 가벼운 활동에도 숨이 차거나, 평소보다 호흡이 빨라지는지 점검하세요.
- 기침과 가래 색 변화 - 기침이 심해지고 가래 색이 노란색이나 녹색으로 변하면 감염 가능성이 큽니다.
- 가슴 통증 - 깊은 숨을 들이쉴 때 가슴에 통증이 있거나 쥐어짜는 느낌이 드는지 체크하세요.
- 청색증 발생 - 입술이나 손톱이 파랗게 변하는 경우 즉시 병원을 방문해야 합니다.
자가 진단 후 대처법 만약 위의 증상이 2개 이상 지속된다면, 가까운 내과나 호흡기 전문의를 방문해 검사를 받아야 합니다. 병원 방문 전 체온을 기록하고, 증상의 변화를 메모해 두면 진단에 도움이 됩니다. 또한, 호흡곤란이 심한 경우 병원에 가기 전까지 창문을 열어 신선한 공기를 마시며 자세를 바로 세우는 것이 도움이 됩니다.
증상 악화 시 신속 대처
고열이 3일 이상 지속되거나 호흡곤란, 가슴 통증, 의식 저하 등의 증상이 나타난다면, 즉시 응급실이나 호흡기 내과를 방문해야 합니다. 특히 호흡수가 분당 30회 이상이거나 청색증(입술 및 손끝이 파랗게 변하는 현상)이 동반된다면 응급 처치가 필요합니다. 전문의의 진단 후 항바이러스제, 항생제, 항염증 치료 등을 병행할 수 있으며, 심한 경우 인공호흡기 치료까지 진행될 수 있습니다. 입원을 통해 산소치료나 수액, 영양 관리가 필요한 경우도 있으므로 초기에 대처하는 것이 무엇보다 중요합니다. 또한, 폐렴 환자는 머리를 약간 높인 상태에서 휴식을 취하는 것이 호흡 부담을 줄이는 데 도움이 됩니다.

청색증으로 파랗게 변한 손끝 재발 및 합병증 예방
급성폐렴에서 회복한 후에도 몸이 완전히 정상 상태로 돌아오기까지 시간이 걸립니다. 이때 다시 면역력이 저하되면 재발 위험이 있으므로, 항생제나 항바이러스제를 복용할 때는 의사의 지시에 따라 정확한 기간을 준수하는 것이 중요합니다. 또한 의사에게 사후관리를 위한 폐 기능검사나 추가 검진을 받아볼 것을 권장합니다. 추가로 규칙적인 호흡 운동과 폐활량 강화 운동(예: 저항 스파이로미터 사용 등)은 폐 기능을 빨리 회복하는 데 도움이 되는 팁입니다.
급성폐렴 예방을 위한 생활습관
급성폐렴을 예방하기 위해서는 면역력 유지와 개인위생이 가장 중요합니다. 백신 접종, 정기적인 손 씻기, 균형 잡힌 영양섭취 등은 일상에서 실천할 수 있는 대표적 습관입니다.
백신 접종 및 개인위생
독감 백신과 폐렴구균 백신을 적절히 맞는 것은 급성폐렴 발생 위험을 크게 낮출 수 있는 방법입니다. 특히 고령층과 영유아, 그리고 만성질환자가 있는 가정은 주치의와 상담해 백신 계획을 세우는 것을 권장합니다. 또한 외출 후 손을 철저히 씻고, 입과 코를 만지기 전 손 소독을 습관화하는 것도 중요합니다.
이때, 인플루엔자 바이러스는 겨울철에 주로 유행하지만 봄가을에도 발생할 수 있으니, 계절에 상관없이 청결 습관을 유지하는 것이 좋습니다. 또한 휴대용 손소독제와 일회용 물티슈를 갖고 다니며 즉각 소독할 수 있는 환경을 만들면 개인위생을 더 효과적으로 지킬 수 있습니다.면역력 강화와 수면 관리
하루 7~8시간의 충분한 숙면, 규칙적인 운동, 그리고 비타민 C가 풍부한 과일·채소 섭취는 면역세포 활성화를 도와 감염병 예방에 효과적입니다. 스트레스를 최소화하고, 명상이나 가벼운 요가 등으로 긴장을 완화하는 것도 면역 체계를 건강하게 유지하는 데 도움이 됩니다. 최근 연구에서는 장내 미생물 균형이 면역력과 밀접한 관련이 있음을 보여주고 있어, 유산균이나 프로바이오틱스 섭취를 통해 장 건강을 챙기는 것도 숨겨진 실천 팁 중 하나입니다.
반응형'의료정보 > 질병 예방' 카테고리의 다른 글
피로·두통·다크서클, 알고 보니 비염 탓? (1) 2025.05.05 50% 치사율? 여름철 생선회 먹기 전 꼭 알아야 할 예방법 (1) 2025.04.23 입 건강 망가지면 삶도 무너진다! 구강 노쇠 예방하기 (2) 2025.03.28 땀과 습기 속에서 번지는 헬스장에서 옮은 피부병? (0) 2025.03.14 RSV바이러스 고위험군 영유아 보호를 위한 조치 방법 (0) 2025.01.11 한랭질환 주의보: 한파 주의보 속 건강 지키는 법 (2) 2025.01.09 독감 유행 막는 필수 지침: A형 독감 예방의 핵심 포인트 (0) 2025.01.07 독감과 감기, 제대로 알면 빠르게 낫는다! (3) 2025.01.05